U srcu Beograda, vaš osmeh dobija sigurnost i negu
Naš tim stručnih stomatologa koristi savremenu opremu i bezbolne metode kako bi vam pružio zdrav, siguran i blistav osmeh – bez stresa i nelagodnosti.


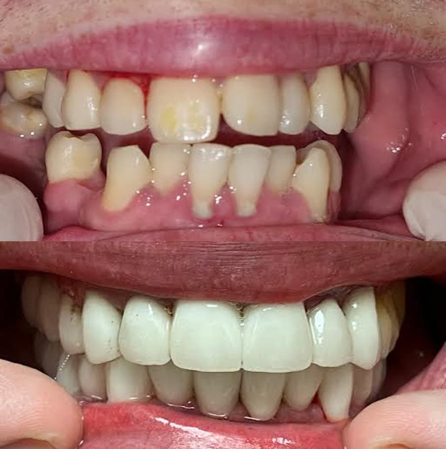
Bez bola, bez straha – samo zdrav i blistav osmeh uz tim kojem verujete
Ordinacija "Mrse Dent" je moderno opremljena sa savremenom stomatološkom opremom. Rendgensko pojedinačno snimanje svakog zuba pre i nakon intervencije omogućava nam da svaki najmanji zahvat bude isprećen na najbolji mogući način. Svaka konslutacija ili stomatološki pregled kod nas je besplatan. U dogovoru sa svakim pacijentom pokušavamo da pronadjemo najbolje rešenje. Ako Vam je potreban hirurški zahvat ili mala intervencija naš ljubazni hirurg Vam stoji na raspolaganju.
Nudimo sledeće usluge
Stomatološki pregled i konsultacije
Temeljna briga o zdravlju zuba i desni.
Estetski ispuni i lečenje zuba
Vraćanje prirodnog izgleda i zdravlja osmeha.
Koncept ALL-ON
4/6
Fiksni hibridni rad na 4 ili 6 implantata
Hollywood smile
Savršen, beo i simetričan osmeh filmskog sjaja.
Krunice i mostovi
Trajno rešenje za obnovu funkcije i estetike.
Izbeljivanje zuba
Brzo i sigurno do blistavo belog osmeha.
Ortopedija vilica
Ispravljanje nepravilnog zagrižaja i položaja zuba.
Dečija stomatologija
Nežna i stručna briga o dečijim zubima.
Intravenska sedacija
Bezbolni stomatološki zahvati uz potpunu opuštenost pacijenta.
Šta su klijenti rekli o nama..

Katie di Nard

Toni Prnjak

Marko Kostić
Najčešće postavljena pitanja..
Da li je prvi pregled kod vas besplatan?

Da, u ordinaciji Mrse Dent svaki stomatološki pregled je potpuno BESPLATAN.
Da li fiksne proteze bole kada se postave?

Sam postupak postavljanja nije bolan. Nakon par dana može se javiti blaga nelagodnost dok se zubi prilagođavaju, što je sasvim normalno.
Koji su termini rada ordinacije Mrse Dent?

Radimo svakog radnog dana, a termine zakazujemo prema dogovoru kako bismo izašli u susret pacijentima.
Da li pružate usluge i estetske stomatologije?

Da, pored standardnih stomatoloških usluga, kod nas možete uraditi i najnovije procedure estetske i antiaging medicine.
Koliko traje terapija fiksnom protezom?

Trajanje terapije zavisi od složenosti slučaja, ali u proseku traje od 12 do 24 meseca.
Da li radite i sa decom?

Naravno, ordinacija Mrse Dent pruža usluge za sve uzraste – od najmlađih pacijenata do odraslih.
Galerija slika












Zakaži pregled kod nas..
Dobrodošli u stomatološku ordinaciju Mrse Dent, koja već više od decenije sa stručnim timom i savremenom opremom brine o zdravlju i lepoti osmeha svih generacija u srcu Beograda.